生殖医療 Reproductive medicine

トップページ生殖医療

概要

 2024年4月に設立された奈良県立医科大学附属病院高度生殖医療センターで診療を行っています。不妊治療において臨床経験豊富な日本生殖医療学会生殖医療指導医である奈良県立医科大学産婦人科学講座教授が主に診療を行っています(2025年12月現在)。
 生殖医療グループでは、現時点で赤ちゃんをさずかりにくくなっている不妊症や妊娠しても流産を繰り返すなどのためになかなか生児を得られない不育症の治療をはじめ、性分化異常、排卵障害、子宮筋腫、子宮内膜症、子宮腺筋症など患者さんに対してその将来の妊娠や健康のために機能を維持するための診断と治療を行っています。特に不妊症、不育症に関しては、毎年のようにエビデンス(医学的な根拠)のある新しい診断方法、治療方法が開発されていますが、信頼性の高いものを取捨選択し提供するとともに、大学に申請し許可を得た(実施体制を含む安全性と有効性あるいはその可能性について審議され許可をされる)後に奈良県立医科大学独自の臨床として新しい取り組みを行っているものもあります。

生殖医療
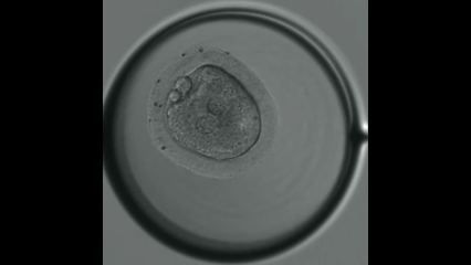
患者・家族様の許諾を得て掲載

不妊症治療の考え方

 現在まで不妊クリニックを受診されたことのない患者様に対しては、全身状態のチェック、ホルモン検査(FSH、LH、エストラジオール、甲状腺機能、乳汁分泌ホルモン、男性ホルモン、抗ミュラー管ホルモンなど)、超音波検査、子宮卵管造影、精液検査、性交後試験(抗精子不動化抗体)などを行い、安全に妊娠出産できるお体の状態かどうかのチェックと妊娠しにくい原因があるかどうかを調べていきます。様々な内科疾患(持病)をお持ちの患者様が多く受診されますので全身状態のチェックは非常に重要です。これらの全身および不妊検査により異常が認められれば、それに即した治療を行っていきます。
 不妊専門のクリニック等他院からご紹介いただきました場合には、全身状態を再評価するとともに紹介状から得られた現在までの治療内容を基に、治療方法を組み立て、提案することとなります。

不妊原因ごとの対応方法

① 排卵障害

 排卵がうまくいっていない状況です。排卵障害を起こす原因により治療方法が異なります。内服・注射の排卵誘発剤を使用することが多いですが、多嚢胞性卵巣症候群や高プロラクチン血症において排卵誘発剤以外の薬の使用や、状況によっては手術が選択される場合もあります。

② 卵巣予備能低下

 今後妊娠のために用いられると考えられる卵巣内に保存されている卵子数の多さを卵巣予備能と言います。年齢によりこれは低下していますが、何らかの原因で実年齢より卵巣予備能が低下している場合があります。その場合には、早期から体外受精などをお勧めする場合もあります。

③ 卵管因子

 子宮卵管造影検査などで卵管の閉塞、変位、卵管采周囲癒着などの異常を認めた場合を言います。状況や程度によっては腹腔鏡など内視鏡により手術を行います。また、体外受精により治療を行います。

④ 子宮因子

 胚(卵の状態の赤ちゃん)が、子宮内膜にくっつきにくくなる状態です。着床障害とも言います。超音波検査、MRI、子宮鏡検査(子宮内を観察する内視鏡検査)、子宮内膜組織の解析などで原因を診断をします。着床障害のとなる子宮筋腫、子宮内膜ポリープ、帝王切開瘢痕部症候群などは、手術療法を行うことがあります。また、慢性子宮内膜炎など子宮内膜組織やその遺伝子発現により診断し、その状況により薬物治療を行います。我々は、本領域において精力的に臨床研究・基礎研究も行ってきており、膨大な知見も有しております。

⑤ 男性因子

 精液濃度異常や男性機能障害によるものです。薬物療法なども行いますが、精索静脈瘤、高度乏精子症などに対しては、手術療法も奈良県立医科大学高度生殖医療センター(泌尿器科)で行っています。また、体外受精・顕微授精の適応と診断され、速やかにこれらの治療が行われることも多いです。

⑥ 子宮内膜症

 成人女性のおよそ10-16%に認められます。原因不明不妊患者のおよそ半数に認めます。卵管による卵子のピックアップ障害、炎症による卵子・精子への悪影響、黄体機能への悪影響、卵巣内の卵子数減少(卵巣予備能低下)などによります。排卵誘発剤やホルモン療法を組み合わせるとともに、腹腔鏡手術や体外受精などにより治療を行います。
 妊娠するための機能回復の手術を施行する際に、その弊害である卵巣予備能低下の防止を行うことに長年取り組んでいます。奈良県立医科大学では、現在さらにその手術を発展させ手術操作による卵巣予備能低下を最大限防止し、子宮内膜症に対する有効性が高く妊孕性を回復する手術療法の開発に取り組んでいます。

⑦ 受精障害

 体外受精を行った患者の10人に1人程度の割合で、卵子と精子が受精しない場合があります。これを受精障害と言いますが、体外受精を行って初めて診断されます。次の治療から顕微授精の適応となります。

⑧ 原因不明不妊

 一般の不妊検査では診断できないものを言います。原因不明不妊の患者様に腹腔鏡をすると約半数に子宮内膜症を認めます。
抗リン脂質抗体症候群、血栓性素因、先天性子宮形態異常、カップルの染色体異常、胎児染色体異数性、内分泌異常などが原因となりますが、これらを中心に診断と治療を行っています。薬物療法が中心になりますが、先天性子宮形態異常に対しては手術療法を施行します。また、子宮内炎症により流産(後期流産を含む)してしまうことがあります。慢性子宮内膜炎の病態と解明についての解析から、最新かつご相談の上に状態によっては奈良医科大学独自の治療方法についてもご提案させていただきます。

施行している治療

タイミング療法

 超音波検査などにより排卵時期を設定し、性交のタイミングを指導します。

排卵誘発

 さまざまな食品やプリメントを紹介する場合があります。結果に驚かれる患者様もおられます。

人工授精

 超音波検査などで排卵日を想定し、子宮内に夫またはパートナーの洗浄精子を子宮内に注入する治療方法です。

子宮鏡下手術

 子宮内膜ポリープや子宮筋腫など腫瘍(できもの)により物理的に着床が障害されるものや子宮形態異常(奇形)、帝王切開瘢痕部症候群を認めた場合に適応となります。奈良県立医科大学附属病院では、Myosure🄬システムを高度生殖医療センター設立の一環として日本国内で最初に導入しました。子宮内膜ポリープや小さな子宮粘膜下筋腫に対してはより低侵襲で安全な手術療法を提供できると考えています。

子宮内膜ポリ-プに対する治療

 子宮内膜ポリープは子宮内膜を変形させて着床障害の原因になったり、子宮鏡で判明したマイクロポリープは慢性子宮内膜炎示唆するため、子宮鏡下に切除した場合、妊孕性が改善することがあります。当院では適応症例ではMyosure🄬を用いて、日帰り入院で極力正常子宮内膜を損傷させずポリープを摘出しています。

子宮奇形に対する手術

 産まれながらに子宮の形が一般と異なる方(弓状子宮、中隔子宮、双頸子宮など)は着床率がよくないことが知られています。子宮鏡下手術により、子宮を形成することで妊娠率が向上することが期待されます。また、子宮奇形がある方は月経血の排出が上手くいかず逆流し、子宮内膜症を合併されている方もおられます。そういった方には腹腔鏡を併用して子宮内膜症の治療も平行して行なうことができます。

帝王切開瘢痕症候群に対する治療

 帝王切開瘢痕症候群は帝王切開の子宮切開創に子宮内膜が入りこんで、子宮腺筋症が発生します。傷痕で月経が生じるため、傷痕に月経血が溜まる状態です。月経がなかなか終わらなかったり、月経困難症が強くなるなどの症状を認めます。古い血液が子宮内に逆流することで子宮内環境を悪化させることで妊娠しにくくなるとされています。子宮鏡を用いて傷痕を焼くことで薄くなった傷痕が厚くなって血が溜まりにくくなり、妊娠しやすくなるといわれています。筋層が薄くなりすぎて子宮鏡での治療が不十分であると考えられる場合は腹腔鏡下もしくはロボット支援下で瘢痕を切除、縫合して形成を行なうことがあります。

腹腔鏡手術療法

腹腔鏡により病変を拡大して観察することにより繊細な手術を行うことを目的としています。子宮筋腫核出術、子宮内膜症病巣除去術、卵管形成術などを行います。自然に妊娠する機能の回復や着床障害の原因の除去により体外受精の治療成績を向上させます。当科では、手術による子宮機能、卵巣機能へのダメージを最小限に抑える手術に取り組んでいます。以下は当院でおこなっている治療の例です。

排卵障害に対する治療

多嚢胞性卵巣症候群に対する治療

 多嚢胞性卵巣症候群(polycystic ovarian syndrome PCOS)は卵胞が多数存在するが故に主席卵胞が1つに決定できず、排卵できない病態です。体質改善や排卵誘発剤などで排卵できるようになる方もおられますが、難治性の場合には中途半端に育ってしまった卵胞に穴を開けてリセットする、腹腔鏡下卵巣開孔術を行なうことで改善する場合があります。

卵巣子宮内膜症に対する治療

 卵巣子宮内膜症は子宮内膜組織が卵巣組織に移植され、卵巣で月経が生じて内出血する病態です。溜まった血液が古くなり、チョコレート色になるため、チョコレート嚢胞とも呼ばれます。チョコレート嚢胞は、月経の度に内出血を起こして卵胞に炎症が波及し、卵子の質を落としたり、周囲と癒着して排卵出来なくする、卵管の通過性を低下させるなどの悪影響を及ぼします。従来、チョコレート嚢胞はくり抜いて(核出術)治療していましたが、核出にあたり、正常卵巣組織を巻き込んで摘出してしまうという問題点がありました。当院では正常卵巣組織を極力傷つけず、内膜症病変のみを標的に治療するツリウムヤグレーザーによる焼灼術やアルコール固定法を選択肢として用意しております。

着床障害に対する治療

子宮筋腫・子宮腺筋症に対する核出術

 子宮筋腫は珍しくない疾患であり、筋腫を持ちながらも妊娠されている方は多くおられます。当院では、①明らかに子宮内膜に干渉して形を変形させて、着床しにくくなっていると推測される場合②cine MRIというパラパラマンガのように、経時的に撮像するMRI画像によって、排卵時期に子宮が蠕動している所見が認める場合などに筋腫を核出する手術を行なうように勧めています。①の場合は子宮内腔にアプローチする子宮鏡手術、②は腹腔鏡、もしくは開腹手術を行ないます。子宮筋腫は平滑筋組織が異常発育して塊を形成している疾患ですが、子宮は筋腫を異物として認識して子宮外に排出しようと蠕動することがあります。その蠕動が受精卵も排出してしまうという理屈で、妊娠率が極端に低下することが知られています。筋腫核出術を行なうと、排出する対象がなくなるため蠕動しなくなります。
 また、子宮内膜症の一種である子宮腺筋症はその炎症作用により内膜に悪影響を及ぼすとされています。難治性の不妊症の方で子宮腺筋症をお持ちの方は、核出術をおすすめすることがあります。

卵管水腫に対する腹腔鏡下手術

 卵管の内側には繊毛と呼ばれる細かい毛がびっしりと生えていて、これが動いて水流を起こし、受精卵を子宮内に流し込みます。その働きが弱まると卵管内の水が滞留して水風船のようになります。これが卵管水腫といった状態です。水腫になった卵管は受精卵を運べないばかりか、健側の卵管から運ばれた受精卵や、体外受精で移植した受精卵に悪影響を及ぼす内容液を流入させるため、手術で切除することがあります。両側卵管を切除する必要がある場合は、以降の妊娠は体外受精で行ないます。

原因不明不妊に対する治療

 様々な検査を行なっても明らかな原因が見つけられない不妊症の方がおられます。そういった方のお腹の中を試しに腹腔鏡で覗く(試験腹腔鏡)とMRIや超音波ではみつけることができなかった組織間の癒着がみつかり、それを剥離させることで妊娠率が上昇することがあります。また、腹腔内を洗浄することで炎症成分が除去され、妊娠し易くなるとも言われています。

体外受精・顕微授精

 多嚢胞性卵巣症候群を含む排卵障害、卵巣予備能低下、高度乏精子症など男性因子、子宮内膜症、子宮腺筋症、原因不明不妊などに対してそれらの状態に合わせて、最新の知識と技術をもって治療を行っています。
 良好な卵子および胚(受精分裂を開始した後の卵)を得ることは、体外受精の治療において最も重要ですが、昔ながらの基本的な生理学に基づいた知識と日々最新の医学情報を得て、これらを合わせながら診療を行っています。卵巣予備能や年齢を勘案し、個人の状況にカスタマイズしますが、奈良医大産婦人科に基本となるプロトコールを作成しています。

当院で取り組んでいる
先進的な高度医療

奈良県がん生殖医療ネットワーク

 小児期や生殖可能年齢(AYA世代)にがんにかかってしまう患者様がおられますが、近年のがん治療の進歩によって、がんを克服される方も徐々に増えてきております。しかしながら、がん治療に用いられる抗がん剤の中には生殖機能に深刻な影響を及ぼすものがあり、がん治療後に不妊症となる方がおられます。がん生殖医療では、不妊症になった後の治療だけではなく、がん治療前に生殖機能を保存してがん治療終了後に保存していた生殖細胞を用いて不妊治療を行なうという治療があります。高度生殖医療センターでは奈良県全体としてがん生殖医療に取り組むために、オンライン診療を活用した奈良県がん生殖医療ネットワークを構築しております。現在、奈良県総合医療センター、奈良市立病院とオンライン診療の提携を結んでいます。

医学的適応による妊孕性温存(卵子凍結、胚凍結、精子凍結、卵巣組織凍結)

(奈良県立医科大学倫理員会承認済み、2025年日本産科婦人科学会承認、JOFR登録後に開始予定)

 診療従事者は、近畿では最も早く2013年より卵巣組織凍結保存の治療を行っております。奈良県立医科大学附属病院では、施設認定後、登録後に本診療を開始します。

着床障害(慢性子宮内膜炎・子宮内細菌叢異常を含む)に対する治療

 着床障害は、不妊治療の分野で最も注目を集めている分野の一つです。Myosureシステムを用いたより安全、子宮内膜に負担の少ない手術を行うとともに、現在までの公表されている研究内容や我々独自の知見に基づいた子宮内細菌叢異常、慢性子宮内膜炎に対する治療の開発に取り組んでいます。

PGT

(2024年12月準備中)